
在医学影像技术飞速发展的当下,计算机断层扫描(CT)凭借其快速成像和清晰解剖结构显示能力,成为临床诊断的重要工具。然而,传统CT重建算法在低辐射剂量下难以平衡图像质量与噪声控制,限制了技术的进一步优化。深度学习重建(DLR)算法的出现,以其独特的技术原理打破了这一僵局,为CT成像带来了革命性变化。本文将深入解析DLR算法的核心原理,系统阐述其技术优势,并全面分析当前面临的挑战,为临床应用和技术研发提供参考。
深度学习重建算法的核心原理
DLR算法是基于深度卷积神经网络(CNN)的新型图像重建技术,其核心逻辑是通过数据驱动的方式学习高低辐射剂量CT图像之间的映射关系,从而实现噪声抑制与图像质量优化。与传统滤波反投影(FBP)的解析重建模式、迭代重建(IR)的模型优化模式不同,DLR算法的核心流程围绕“数据训练-模型验证-临床应用”展开。
首先,算法需通过大量高低剂量配对数据进行训练。这些数据可通过两种方式获取:一是对体模或患者分别进行高低剂量扫描,获得真实配对图像;二是在高剂量图像中加入模拟噪声,合成低剂量图像,确保数据的一致性和丰富性。训练过程中,神经网络通过多层卷积、池化与反卷积操作,自动提取图像特征,学习从低质量低剂量图像到高质量高剂量图像的转换规律。

![]()
![]()
根据在图像形成过程中的作用阶段,DLR算法可分为四类:直接DLR直接替代传统重建方法,从投影数据直接生成图像;投影空间DLR针对CT投影数据进行噪声抑制和伪影校正;图像空间DLR在传统重建后对图像进行去噪优化,是目前应用最广泛的类型;混合DLR则结合投影数据处理与图像去噪,保留传统重建框架的同时融入深度学习优势。无论何种类型,其核心均是利用神经网络的非线性拟合能力,突破传统算法的物理模型限制,实现更灵活高效的图像优化。
深度学习重建算法的技术优势
(一)低剂量下的图像质量突破
DLR算法最显著的优势是在大幅降低辐射剂量的同时,保持甚至提升图像质量。传统FBP算法在低剂量条件下会因光子匮乏产生大量噪声和伪影,严重影响诊断;IR算法虽能减少噪声,但会导致图像出现“塑料感”,且可能丢失空间分辨率。而DLR算法通过深度训练,能够精准区分图像中的有效信号与噪声,在抑制噪声的同时,最大程度保留器官纹理、病变边缘等关键诊断信息。研究表明,DLR算法可使辐射剂量降低57%-65%,且图像噪声平均减少39%,在低剂量扫描中仍能清晰显示微小肝转移瘤、近等衰减胰腺癌等低对比度结构。

![]()
![]()
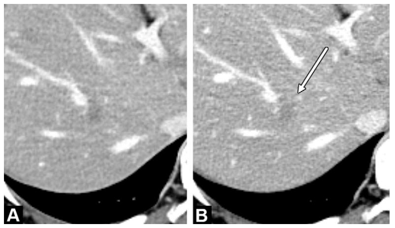
轴位增强 CT 图像显示一名研究参与者肝脏内的结直肠癌转移瘤(B 图箭头所示)。采用中等强度 TrueFidelity DLR 重建的图像(A 图),即使辐射剂量降低 66%,病变显影度仍略有提升,且与同一屏气状态下获取的标准剂量 FBP 图像(B 图)相比,该病变在标准剂量 FBP 图像中被阅片者遗漏,而在 DLR 图像中被成功识别。
(二)优化的噪声纹理与空间分辨率平衡
噪声功率谱(NPS)的合理性直接影响图像的临床可读性。传统IR算法会改变图像的噪声功率谱,导致高频噪声降低、图像显得不自然;而DLR算法通过学习真实高剂量图像的噪声特征,其生成的图像噪声纹理与FBP算法高度接近,更符合放射科医生的阅片习惯。同时,DLR算法有效避免了IR算法中常见的空间分辨率损失问题,即使在高去噪强度下,仍能维持高对比度结构的清晰度,确保微小病变和精细解剖结构(如血管分支、骨骼细节)的有效识别。

![]()
![]()
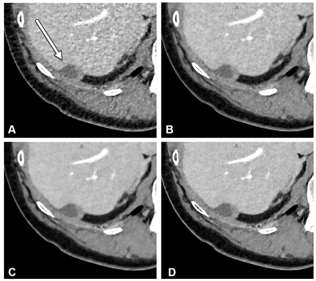
轴位增强 CT 图像显示肝被膜后方的微小转移瘤(A 图箭头所示)。初始采用三维自适应迭代剂量降低技术(AIDR 3D;佳能医疗系统)重建的图像噪声明显(A 图);经 AiCE 重建后,信噪比(SNR)和对比噪声比(CNR)显著改善(B 图);采用新型 PIQE 算法后,图像质量进一步提升,能更清晰地显示病变特征(如外壁增厚,C 图);必要时可将图像矩阵从 512 提升至 1024 以提高空间分辨率,结合 PIQE 算法可实现更优成像效果(D 图)。
(三)广泛的临床适配性与流程优化
DLR算法具有极强的临床适配性,不仅适用于常规单能量CT(SECT),在双能量CT(DECT)中同样表现出色。通过抑制低管电压或低单能量重建带来的高噪声,DLR算法扩大了DECT的剂量优化空间,提升了碘浓度定量、物质分离等功能的准确性。此外,DLR算法的重建速度快,部分模型可实现近实时重建,解决了IR算法计算量大、耗时久的问题,优化了临床流程。同时,厂商无关的DLR方案(如PixelShine、ClariCT.AI)可兼容不同品牌的CT设备,无需依赖原始投影数据,仅通过DICOM图像即可实现去噪优化,进一步提升了技术的实用性。
(四)拓展的临床应用场景
除了常规腹部、胸部成像,DLR算法在特殊场景中也展现出独特价值。在儿科成像中,其低剂量优势可减少辐射对儿童的潜在危害;在需要反复随访的肿瘤患者中,能降低累积辐射剂量;在扫描过程中患者无法配合(如手臂无法抬起)的情况下,可通过噪声抑制改善图像质量。此外,DLR算法还能支持更薄的层厚重建,提升空间分辨率,为细微骨折、小气道病变等的诊断提供更有力的支持。

![]()
![]()
48 岁男性直肠癌肝转移患者的轴位增强双能量 CT(DECT)图像。采用 ADMIRE 技术(西门子医疗)将 DECT 数据重建为线性融合图像(A 图),融合系数为 0.6(80kVp 占 60%,150kVp 占 40%);通过噪声优化虚拟单能量图像重建算法生成 40 千电子伏特(keV)虚拟单色图像(B 图);再采用厂商无关 DLR 方法(ClariCT.AI)重建中等强度 40keV 虚拟单色图像(C 图)。线性融合图像(A 图)的窗宽 / 窗位调整为 300/40,虚拟单色图像(B 图)调整为 600/150。线性融合图像的病变对比增强效果较差(A 图);40keV 虚拟单色图像的对比增强效果更优,但图像噪声较高(B 图);而经 ClariCT.AI DLR 重建的图像,噪声显著降低,病变显影度明显提升(C 图)。
深度学习重建算法面临的挑战
(一)技术层面的固有局限
DLR算法的“黑箱”特性是其核心技术挑战之一。由于神经网络的决策过程难以解释,无法明确其在重建中对具体图像特征的处理逻辑,可能导致临床诊断中对图像信息的误判。同时,算法对输入数据的微小变化可能产生不成比例的响应,在低剂量扫描或训练数据质量不佳时,可能生成看似合理但虚假的图像细节,干扰诊断。此外,不同厂商的DLR算法在探测器材料、重建参数、能量箱配置等方面存在差异,导致图像外观和性能不一致,增加了跨机构诊断的难度。

![]()
![]()
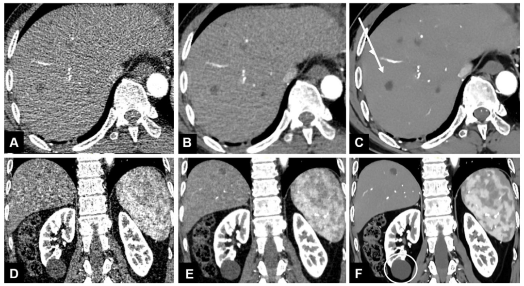
轴位(A-C 图)和冠状位(D-F 图)增强 CT 图像显示,从 FBP(A、D 图)到混合迭代重建技术(B、E 图),再到 DLR AIIR 技术(C、F 图),低衰减肝病变的显影度逐步提升(C 图箭头所示)。AIIR DLR 技术显著改善了单纯肾囊肿的内部纹理(F 图圆圈所示),使其呈现明显的均一性,但可能对图像噪声纹理过度校正,导致肝实质纹理过度平滑。
(二)临床验证与标准化不足
目前DLR算法的临床验证仍存在诸多不足。体模研究的结果难以完全转化为临床实际表现,因为体模的纹理和衰减特性与人体器官存在差异,且CNN模型多基于患者数据训练,对体模的适配性有限。同时,缺乏统一的临床评估标准,现有研究多聚焦于特定病变(如肝转移瘤)或特定部位,对不同疾病、不同体型患者的适配性验证不足。此外,关于DLR强度设置的选择尚无统一指南,高强度去噪可能导致高频信息丢失,低强度去噪则无法充分发挥剂量优势,需根据临床任务灵活调整,增加了临床应用的复杂性。
(三)数据与成本制约
DLR算法的训练依赖海量高质量临床数据,但CT厂商对投影数据格式和物理噪声模型的保护,导致第三方研发难以获取核心数据,限制了技术的创新与优化。同时,DLR算法的部署需要高性能计算设备和存储资源,增加了医院的硬件投入成本。对于基层医疗机构而言,昂贵的设备升级费用和维护成本,使得DLR技术的可及性较低,加剧了医疗资源的不均衡。
(四)伪影与特殊场景适配问题
尽管DLR算法在噪声抑制方面表现出色,但在处理金属伪影、运动伪影等复杂情况时,效果仍不理想。现有研究对DLR算法的伪影缓解策略关注较少,相关技术储备滞后于临床需求。此外,在极端低剂量条件下,DLR算法对微小病变(如<1厘米的肝转移瘤)的检测灵敏度可能下降,需要更高的辐射剂量支持,限制了其在超低剂量成像中的应用。
总结与展望
深度学习重建算法以其独特的数据驱动原理,在CT成像的低剂量优化、图像质量提升和临床适配性方面展现出不可替代的优势,为精准医疗提供了强大助力。然而,技术层面的“黑箱”局限、临床验证的标准化缺失、数据与成本的制约,以及特殊场景的适配不足,仍需通过技术创新和临床研究逐步解决。未来,随着算法可解释性的提升、多中心大样本验证的推进、开源数据平台的建立,DLR算法将不断完善,与光子计数CT等新型硬件技术的结合,将进一步拓展其应用场景,推动CT成像向“低剂量、高分辨率、智能化”方向迈进,为临床诊断提供更安全、精准、高效的支持。
本文来源于赵喜老师的影像专业公众号XI区
内容风趣幽默,欢迎关注
参考文献:Mileto A, Yu L, Revels JW, Kamel S, Shehata MA, Ibarra-Rovira JJ, Wong VK, Roman-Colon AM, Lee JM, Elsayes KM, Jensen CT. State-of-the-Art Deep Learning CT Reconstruction Algorithms in Abdominal Imaging. Radiographics. 2024 Dec;44(12):e240095. doi: 10.1148/rg.240095.仅供专业人士交流目的,不用于商业用途。

精彩推荐:
↓↓ 欢迎进入鼎湖学堂